邓京城:爱运动的小朋友“膝盖疼”,小心胫骨结节骨软骨炎
在门诊,常常有家长带着自己10多岁的孩子来看病,说小朋友一走路就“膝盖疼”,这么小难道得了“关节炎”?
当然不是,小朋友虽然见到医生多一声不吭,但在平时,这个年龄正是“淘气”的时候,这种情况下,胫骨结节骨软骨炎是常见的病因。
胫骨结节骨软骨炎又称为Osgood-Schlatter病,为胫骨结节骨化失常所致。正如开头所说。这种疾病多见于10~15岁男孩,一侧多见,双侧约为30%。
患者多喜欢剧烈运动,特别是踢球运动,因此,爱踢球的小朋友需要小心啦。
胫骨结节在什么位置,为什么会“发炎”?
胫骨结节是股四头肌通过髌骨和髌韧带附着的骨骺。小朋友骨尚在发育中,胫骨结节尚未与胫骨融合,而股四头肌的发育相对较快,这样当剧烈运动时,肌肉的反复有力收缩使未完全愈合的胫骨结节和胫骨的连接部撕脱拉开,影响胫骨结节的血循环,致使胫骨结节发生缺血坏死。病变表现为髌韧带抵止部(胫骨前方痛点处)肿胀、肥厚、充血。因局部发生缺血改变,坏死与新生骨交替,胫骨结节不整齐,后修复。

本症发生于骨骺未闭合前青年生长期,病情常持续2-3年,至成年骨发育完成,骨骺完全骨化才停止进展。可遗留胫骨结节的永存骨骺。

运动后膝关节疼痛是主要症状。
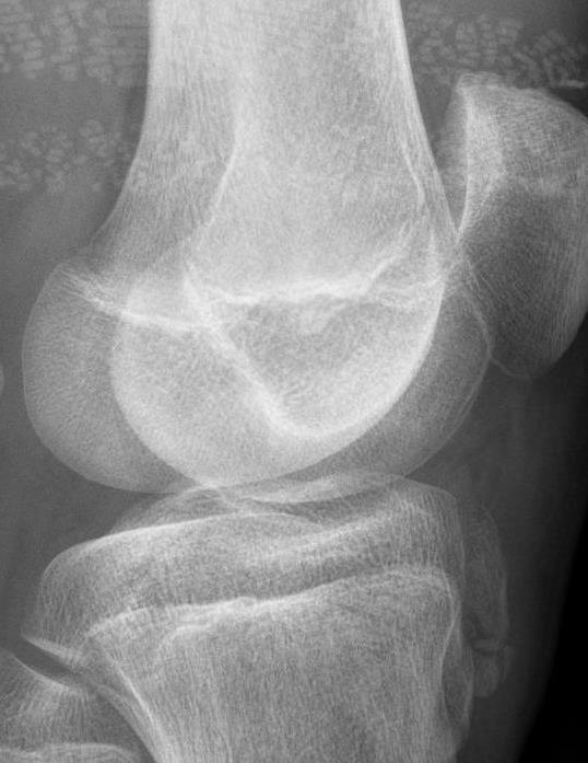
患者主要表现为膝痛,行走时明显,上下楼梯时或踢球等剧烈运动后加重,在一侧或双侧胫骨结节上端前方可触及局限性肿胀,伴有明显的压痛,晚期成年后,在胫骨结节处可触及肥大突起。X线片可显示胫骨结节骨骺呈舌状,骨骺骨质致密或边缘不规则,有时可见骨骺碎裂与骨干分离。

胫骨结节骨软骨炎是可以自愈的,很少需要手术治疗。
治疗以减少运动量为主,可以自愈,根据症状轻重,可采取制动或不制动,制动的目的主要是减少膝关节屈伸活动,从而减少对胫骨结节的刺激。在急性疼痛期间,可使用石膏将膝部保持于伸直位,可正常行走,若局部疼痛严重,则应该卧床休息,至疼痛消失为止。固定期一般为4-6周。待症状缓解后,逐渐恢复活动。同时可用热敷及按摩消除局部肿胀。局部封闭或者钻骨已很少有人应用。
治疗以减少运动量为主,是可以自愈的
如胫骨结节过大,影响美观,待骨骺完全闭合后,可考虑部分切除。
