晚长、胖孩子长的高...青春期前不着急,错误认知让身高“丢”了10cm!
很多孩子明明是同龄,身高的差距却很大,这和基因(遗传身高)以及骨龄(饮食、睡眠、运动)有很大的关系。
父母高,孩子就高?父母矮,孩子就矮?这种认识不完全正确!
事实上,在孩子身高的决定权上,遗传基因占比在70%左右。还有30%的空间,能靠后天的努力去弥补!不要忽视这30%,通过骨龄监测来进行身高管理,可以实现10cm的突破!
比如同样是一年身高增长6厘米的孩子,因为消耗的骨龄不一样,生长效能大不相同。
所以,骨龄+生长速度是决定孩子生长潜力的关键!
设计平均每岁骨龄需增长身高,管理骨龄身高生长速度可以极大地释放孩子的生长潜能,助孩子实现理想身高!这也正是身高管理的意义所在。
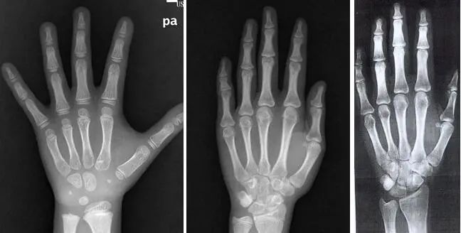
3个年龄相同的孩子,身高不同,骨龄也不同!
简单来说,骨龄就是骨骼的年龄,需要借助骨骼在X光摄像中的特定图像来确定。
生活年龄:以出生时间为计算标准,每个人的生长速度都是一样的。
骨骼年龄:从胎儿到成年骨骼的发育过程,受遗传和后天环境的影响,存在明显的个体差异。
只要孩子能配合伸出自己的左手(左手未成功时,右手可替代),将左手伸直张开放在指定位置5秒钟,即可完成骨龄片。
灯亮以后,小手不要动,左手的照片就有了!
有数据表明,在做好防护的情况下,拍摄一次手足部位的X光片的辐射量为0.01毫希伏。
相当于看20分钟手机、坐2分钟飞机或晒一小时太阳。
此外,手部属于肢体末端,避开了脑部、甲状腺、性腺等关键部位。所以,X射线对身体的危害可忽略不计。
各个医疗机构采用的骨龄标准不同,比如GP图谱、TW3方法等,其骨龄结果就会不一样,且偏差较大。
还有一种可能是,同一个骨龄标准,不同医生评价所带来的主观因素偏差,这种差值较小。
所以,在拍摄骨龄片时家长一定要选择专业的医疗机构,尽量减少误差。
如果把孩子比作一辆单程汽车,骨龄就是汽车的汽油。我们需要定期查看油表,才能知道汽车还能跑多远。
期望身高=汽车需要跑的路程
期望身高-出生时身长=出生时还需要跑的路程
通过检测骨龄,我们不但能知道孩子还能长多久,更重要的是,我们还能知道孩子怎么长才能达到期望身高。定期监测骨龄,动态了解孩子骨龄和年龄的关系,一旦出现偏差,及时调整身高管理方案。
拿出你家宝贝左手的正位X光片,图中圈出的位置是中节指骨3,当它的骨骺和骨干一侧或两侧等宽时,就意味着进入了猛涨期,要猛“蹿个儿”了!注意!!!当进入青春期后,骨龄亮起红灯,长高进入尾声,身高能干预的空间已经很有限了!

看看你家宝贝的骨龄X光片长什么样?
一般来说,男孩骨龄10.9岁、女孩骨龄8.8岁,进入猛长期。
真的可以!
需要注意的是,骨龄反应的是孩子当前发育状态下,未来生长潜力能达到的身高,而实际情况会随着孩子生长发育情况而变化。营养、疾病、环境等诸多因素都会影响身高,所以身高才需要管理。给孩子做身高管理,就好比给孩子长高的车定期做保养,保障正常的车速以及合适的油耗,让百公里油耗和孩子的期望身高匹配。要想孩子长得高,基本原则就是,用更少的汽油,跑更远的路。
生长发育的一般规律
所有孩子身高停止生长的年龄不同,但是,所有孩子身高停止生长的骨龄相同。因此,想要实现理想身高,就让骨龄长慢一点,一年时间,骨龄不要超过一岁!
体重和骨龄增长基本同步,保持体重增长速度低于平均水平,可以有效延缓骨龄的生长速度。
父母对身高的认识,决定孩子一生的高度。每多一个有身高管理意识的家长,就会少一个有身高遗憾的孩子。
怎样才能帮助孩子实现期望身高?大咖来了!
下期微信内容,我们将请来国内儿童身高管理开创者,中国优生优育协会儿童早期发展专委会副主任委员、研究员 蒋竞雄博士 教您计算,要达到目标身高,孩子每年身高的增长值要达到?CM,以及如何来实现这?CM的增长!

蒋竞雄
儿童保健专家,博士,研究员,硕士生导师,中国优生优育协会儿童早期发展专委会副主任委员。中国优生科学协会小儿营养专业委员会常务副主任委员。中国妇幼保健协会儿童营养专业委员会副主任委员。中国家庭教育学会常务理事。
毕业于协和医科大学儿科专业,从事儿科临床、儿童保健工作三十余年,主攻儿童营养和生长发育,在儿童身高管理和身高促进、儿童肥胖干预、婴幼儿喂养、儿童营养评价、婴幼儿过敏预防、儿童保健服务市场开发等方面有独到的见解和丰富的实践经验。
在儿童保健领域多次承担卫生部及世界卫生组织、联合国儿童基金会等国际组织的合作项目和课题,作为主要负责人参与卫生部有关儿童保健工作规范和技术规范的制定,参与国务院《儿童发展纲要(2011-2020)》的制定,作为主要撰稿人负责国家基本公共卫生服务规范中《社区儿童肥胖干预技术规范》的制定和国家卫生计生委妇幼司《0-6岁儿童肥胖干预工作规范》和《0-6岁儿童肥胖干预技术规范》的制定。
担任数家国内一类专业杂志编委。在国际和国内一类学术期刊发表专业和科普文章数十篇,出版著作多部。代表作《长高不再是梦想》、《儿童身高管理实用手册》。

您对孩子的期望身高是多少?
带娃到医院拍张骨龄X光片
科学地身高管理
实现孩子人生新“高”度!
身高发育测评套餐
助力宝贝早长高!
点击下方图片即可了解更多详情噢~




